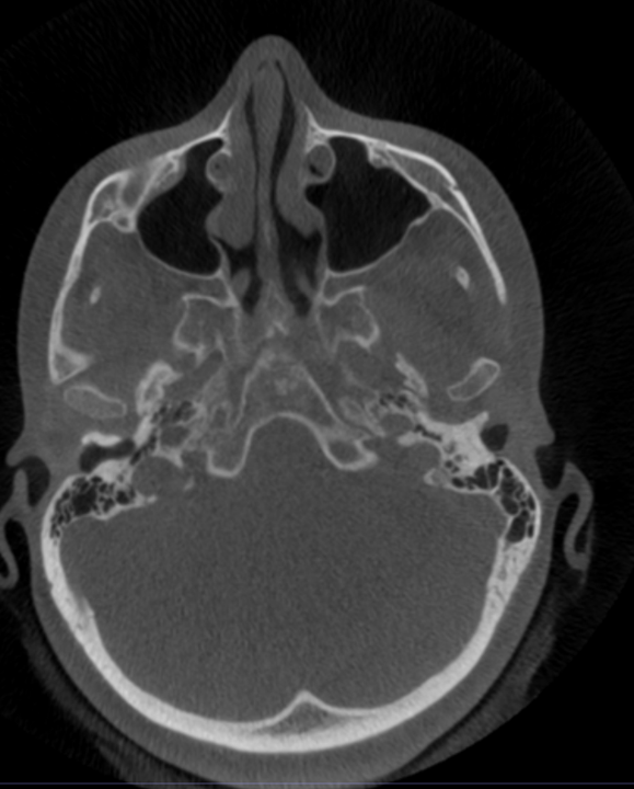
El CBCT (Cone Beam Computed Tomography) o tomografía volumétrica de haz cónico es una tecnología de imagen 3D que permite visualizar estructuras craneofaciales con altísima precisión.
NECESITA SOLICITARSE CITA PREVIA - SOLO DISPONIBLE EN BOGOTA COLOMBIA
A diferencia de una radiografía tradicional (2D), el CBCT:
- Captura volumen completo (3D)
- Permite ver hueso, dientes y vías aéreas
- Usa menor radiación que un TAC médico convencional
- Es ideal para diagnóstico funcional, estructural y anatómico
¿Qué lo hace tan valioso?
Porque puedes:
- Ver lo que NO se ve en 2D
- Medir con precisión real (mm³, mm²)
- Analizar función + estructura (clave en tu enfoque de vías aéreas)
BENEFICIOS EN VÍAS AÉREAS
Aquí es donde el CBCT se vuelve oro puro para tu práctica:
- Evaluación volumétrica real
- Volumen total de vía aérea (mm³)
- Área mínima (zona crítica de colapso)
- Segmentación:
- Nasal
- Nasofaríngea
- Orofaringe
Esto te permite correlacionar con:
- Ronquido
- Apnea
- Respiración oral
- Análisis nasal detallado
- Cornetes (hipertrofia)
- Desviación septal
- Válvula nasal (clave en tu enfoque)
Puedes objetivar obstrucción nasal funcional
- Adenoides (muy importante en niños)
- Tamaño real
- Relación con vía aérea
- Grado de obstrucción
Mucho más preciso que radiografía lateral
- Relación con postura y crecimiento
- Posición mandibular
- Colapso posterior de lengua
- Relación con columna cervical
Aquí conectas perfecto con:
- SNA
- postura
- desarrollo craneofacial
- Predicción de riesgo respiratorio
- Áreas críticas estrechas
- Patrón de vía aérea colapsable
BENEFICIOS EN DIAGNÓSTICO DENTAL
- Ortodoncia avanzada
- Posición exacta de dientes retenidos
- Reabsorciones radiculares
- Relación con corticales óseas
- ATM (articulación temporomandibular)
- Cóndilo
- Fosa glenoidea
- Asimetrías
👉 Muy útil en pacientes con dolor o disfunción
VENTAJAS CLAVE DEL CBCT
- ✅ Alta precisión diagnóstica
- ✅ Baja radiación (ya que usamos ULD o dosis ultrabajas de radiación especialmente en niños)
- ✅ Diagnóstico temprano
- ✅ Planificación personalizada
- ✅ Enfoque interdisciplinario
CONSIDERACIONES
- No evalúa tejidos blandos como un TAC médico
- Debe usarse con criterio clínico (no de rutina)
- Requiere interpretación experta (ahí es donde tú marcas la diferencia)

Valoraciones
No hay valoraciones aún.